Takmer 13-centimetrovú hračku mala vo vagíne 10 rokov!

vagina   2.jpg
Zdroj: Daily Mail

Mohla jej ohroziť život.

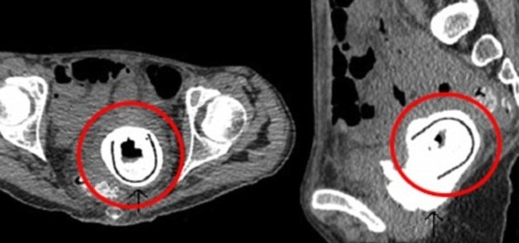
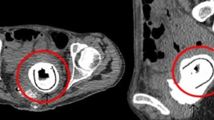
Chirurgovia našli takmer 13-centimetrovú sexuálnu hračku v ženskej pošve. Mala ju tam celých 10 rokov.

Škótka (38) sa sťažovala na enormné chudnutie, inkontinenciu a letargiu. Žena prišla do nemocnice s bolesťami a triaškou. Pár týždňov trpela neovládateľným únikom moču a nadmerne chudla.

Netušila však, čo jej mohlo spôsobiť takéto ťažkosti. Lekári ju po potrebných vyšetreniach poslali na röntgen. To, čo tam videli, ich zarazilo. Žena mala celých desať rokov v maternici sexuálnu hračku. Priznala, že si nepamätá, ako sa tam hračka dostala. Je však podľa nej možné, že ju používala pod vplyvom alkoholu.

Zdroj: Daily Mail

Hračka jej ohrozovala život. Mohla spôsobiť vnútorné poranenia, ktoré by mali vážne následky. Jeden čas žena trpela odtokom moču do pošvy a mala obštrukčnú uropatiu.

Podľa zistení dotyčná nebola obeť zneužitia, mala normálne IQ, nemala žiadne známky depresie či psychózy. Po vybratí hračky ju prepustili do domácej liečby.

Jeden lekár uviedol, že bolo veľmi nezvyčajné, že si žena alebo jej partner takú dlhú dobu nevšimli nič nezvyčajné. Predsa len, 13 centimetrov nie je v tele ženy zanedbateľná veľkosť. Hlavne, keď viedla normálny sexuálny život.

„Vagína a celkovo ženský aparát je veľmi citlivý, plný nervových zakončení. Je nemožné, aby si nič nevšimla taký dlhý čas," vysvetľuje ďalší ošetrujúci lekár.

Toto však nie je jediný prípad, kde erotickú hračku zabudli v tele ženy. Bolo to dokonca viac ako desať rokov. Ide o prípad, kde v pošve ostala hračka na celých 35 rokov. Nešlo však len o erotické pomôcky, ale aj o bizarné predmety ako detské hračky, lak na vlasy, čiapku, valcovú plechovú nádobu, plastovú šálku a mnoho ďalších.

Jeden štúdiový prieskum z roku 2009 popisuje, ako lekári objavili 3x5 centimetrové cudzie teleso v 72-ročnej žene. Lekári tvrdia, že ľudia popierajú existenciu predmetov v ich tele, pretože majú strach z pocitu viny a rečí okolia.

Zdroj: DailyMail

V praxi je u pacientov bežné, že trpia syndrómom Baróna Prášila. Je to psychiatrický stav, keď osoba predstiera symptómy, aby získali pozornosť a sympatie. Psychické poruchy, zneužívanie alkoholu a zneužívanie detí sú tiež bežné u týchto pacientov.

ŠKÓTSKO/Daily Mail
Voyo

Sledujte Televízne noviny vo full HD a bez reklám na Voyo

Sledujte kanál spravodajstva Markízy

K téme My ženy

Dôležité udalosti